Trauma, jaw Injuries, Dislocations or Fractures, Complications of previous Dental Surgries- At 33 Smile Care out emergency team is ready to provide immediate treatment. Its just a call away.






At 33 Smile Care, we believe a confident smile should be within everyone’s reach — without compromising on quality. As a premium yet affordable practice, we combine cutting-edge digital technology with expert care to deliver smiles that are both aesthetically pleasing and functionally sound. Our team focuses on personalized treatment plans, ensuring every patient receives care tailored to their unique needs and goals. With transparent pricing and uncompromising standards, we make world-class dental care accessible and stress-free.
Your smile deserves personalized attention. Whether you need a regular cleaning, braces, or cosmetic treatment, our caring specialists make every visit comfortable and rewarding.
At 33 Smile Care, we combine expertise, technology, and personalized care to craft your best smile. Here’s why patients trust us:
Quality dental care that fits your budget.
Flexible payment plans for your convenience.
Expert specialists dedicated to your smile aesthetics.
Advanced technology for precise and predictable results.
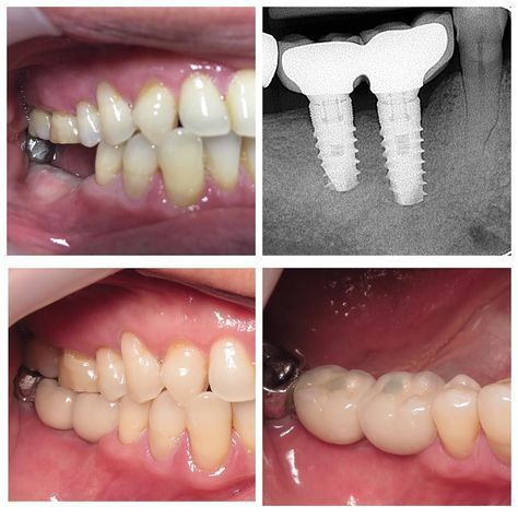
Permanent, natural-looking tooth replacements.
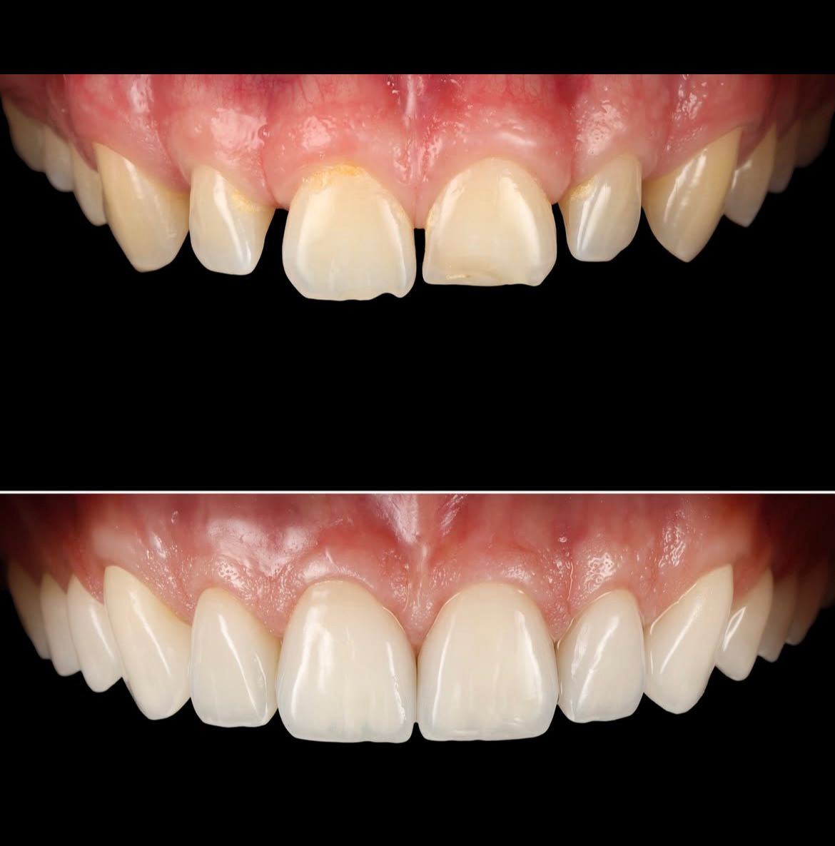
Beautiful, durable restorations that blend seamlessly.
We offers complete dental solutions for every age and need.
Conveniently located in Dehradun, Panchkula, and Gurugram.
See the transformation! Our Before & After gallery showcases real smile makeovers crafted by our expert dentists. From subtle enhancements to complete smile redesigns, witness how 33 Smile Care brings confidence back—one smile at a time.
















🚨 Emergency Dental Care at 33 Smile Care
Trauma, jaw Injuries, Dislocations or Fractures, Complications of previous Dental Surgries- At 33 Smile Care out emergency team is ready to provide immediate treatment. Its just a call away.
Delaying treatment can cause simple cases into serious complications.
At 33 Smile Care, our team of experienced MDS specialists and dedicated dental professionals work together to deliver exceptional care. Combining expertise, compassion, and the latest technology, we ensure every patient leaves with a healthy, confident smile.

Patient
"I had gaps between my teeth, and the aligner treatment at 33 Smile Care worked wonders! The doctors were patient, professional, and the results are amazing."

Patient
"Got my dental implant done here — completely painless and perfectly natural-looking. The team made me feel comfortable throughout the process."

Patient
"I visited for veneers, and I’m thrilled with my new smile! The digital smile design helped me see the results even before starting. Highly recommend 33 Smile Care!"
Experience expert care, advanced technology, and personalized treatment at 33 Smile Care.
With options like clear aligners | Invisalign, invisible braces, and smile design, we cater to patients who value both function and looks At Affordable Price .
+91-9306456701
33smilecare@gmail.com
Dehradun, India