. How to Clean Braces – A Simple Patient Guide
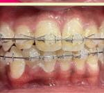
Keeping your braces clean is essential to prevent stains, decay, and gum problems. Here’s what to do: Brush after every...
Keeping your braces clean is essential to prevent stains, decay, and gum problems. Here’s what to do: Brush after every...
Starting orthodontic treatment is exciting, and knowing what to expect helps you feel prepared. Initial Consultation: Your orthodontist will examine...
Braces and veneers are both popular ways to improve your smile, but they work in completely different ways. Braces are...
Today, patients have more choices than ever to straighten their teeth. The most common options are traditional braces and modern...
Experience expert care, advanced technology, and personalized treatment at 33 Smile Care.
With options like clear aligners | Invisalign, invisible braces, and smile design, we cater to patients who value both function and looks At Affordable Price .
+91-9306456701
33smilecare@gmail.com
Dehradun, India