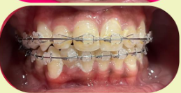
. How to Clean Braces – A Simple Patient Guide

Keeping your braces clean is essential to prevent stains, decay, and gum problems. Here’s what to do: Brush after every meal: Food easily gets stuck in brackets and wires. Use a soft orthodontic brush: Angle the bristles above and below the brackets. Use interdental brushes: They clean the small spaces regular brushes miss. Floss daily: […]
What to Expect During Orthodontic Treatment

Starting orthodontic treatment is exciting, and knowing what to expect helps you feel prepared. Initial Consultation: Your orthodontist will examine your teeth, take scans, and discuss your treatment goals. Treatment Planning: Digital models are used to customize your treatment plan. Placement Day: Braces are fixed or the first set of aligners is provided. Regular Visits: […]
Braces vs Veneers – Smile Alignment vs Smile Enhancement

Braces and veneers are both popular ways to improve your smile, but they work in completely different ways. Braces are orthodontic devices that physically move teeth into proper position. They are ideal for correcting crowding, overbite, spacing, and bite alignment. Results are long-lasting and improve both esthetics and function. Veneers, on the other hand, are […]
Braces vs Aligners – Which Is Right for You?

Today, patients have more choices than ever to straighten their teeth. The most common options are traditional braces and modern clear aligners. Both work effectively, but which is best for you depends on your lifestyle, goals, and dental needs. Braces use metal or ceramic brackets and wires to move teeth into alignment. They are reliable, […]